+593 510 0584 ventas@purifluidos.com.ec      099 706 5645   Mon - Fri 8:00 - 17:30

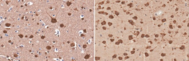
ANTICUERPO ANTI-LC3B MERCK MILLIPORE 15KDA.REACTIVIDAD EN HUMANO. CANTIDAD 100 UL POR PAQUETE. FORMATO:SUERO. HUESPED: CONEJO. PEPTIDO LINEAR QUE CORRESPONDE A HUMANO LC3B.

https://purifluidos.com.ec/web/image/product.template/4644/image_1920?unique=22be040

    Esta combinación no existe.

    Términos y condiciones
    Envío: 2-3 días laborales (Previa revisión de disponibilidad)